• Bombay Dental Clinic

    Good Things Begin With A Beautiful Smile

  • Honest Dental Care

    Putting Patient First

  • Sincere Dental Care

    Treating Patients As Our Own

Our Portfolio

What we have done so far

Female Smile Enhancement

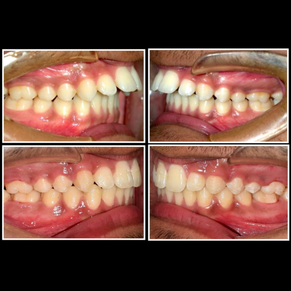
Treatment of severly crooked teeth through teeth alignment of the patient.

Teeth Cleaning

Scaling and polishing of teeth to remove stain and calculus/tartar.

Teeth Fracture Treatment

Treatment of fractured teeth using direct composite.

Crown Matching and Placement

Asthetic restoration and enhancement through crown matching and placement.

Smile Improvement

Smile improvement through treatment of open bite orthodontic procedure.

Open Bite Treatment

Treatment of open bite through orthodontic procedure.

Class 2 Malocclusion Treatment

Class 2 Malocclusion Treatment by fixed functional appliance.

Male Smile Enhamcement

Treatment of forwardly placed teeth through teeth alignment of the patient.

Our Work

What we do....

Orthodontics

Braces

Endodontics

Root Canal

Prosthodontics

Capping, Bridging

Periodontics

Cleaning, Polishing

Contact Us

Thank you for visiting.

Bombay Dental Clinic is a Dental Health Care initiative established under the AlfaCreed Wellness Trust to provide quality Dental Care.

  • Address: C-2/304, Sector-F, Jankipuram, Lucknow-226021.
  • Email: contactBombayDentalClinic@gmail.com
  • Phone: +91-8081938606
  • *Visit By Appointmemnt Only. WhatsApp for informal consultations.*